Schlaganfall
Eine häufige und schwerwiegende Erkrankung. In Deutschland erleiden jährlich etwa 200.000 Menschen erstmals und 70.000 Menschen erneut einen Schlaganfall. Das Risiko, an einem Schlaganfall zu versterben, hat sich in Deutschland dank einer flächendeckenden Notfallbehandlung auf sogenannten Schlaganfalleinheiten in den vergangenen Jahren nahezu halbiert.
Die Überlebensrate beträgt inzwischen 93 Prozent innerhalb der ersten 30 Tage nach einem Schlaganfall. Bei jüngeren Betroffenen ist diese noch höher. Jedoch ist ein Schlaganfall immer noch die häufigste Ursache für eine bleibende Behinderung im Erwachsenenalter und das nicht nur bei älteren Erwachsenen, sondern auch zunehmend bei jüngeren Erwachsenen.
Symptomatik
Die Symptome eines Schlaganfalls können sehr stark variieren und hängen davon ab, welcher Teil des Gehirns nicht mehr ausreichend durchblutet wird.
Zu den häufigsten Warnzeichen eines Schlaganfalls gehören:
- Halbseitige Lähmungserscheinungen
- Taubheitsgefühl einer Körperseite
- Gleichgewichtsstörungen
- Schwindel
- Gangunsicherheit
- Sehstörung mit
- plötzlicher Erblindung eines Auges
- Gesichtsfelddefekt
- Sehen von Doppelbildern
- Sprachstörungen, bei denen Gesprochenes nicht verstanden, Silben verdreht oder falsche Buchstaben verwendet werden
- Sprechstörungen, bei denen die Aussprache undeutlich bzw. verwaschen ist
- Herabhängender Mundwinkel
Wenn diese Symptome auftreten, kann es sich um einen Schlaganfall handeln. In diesem Fall sollte sofort ein Notruf (112) erfolgen.
Diagnostik

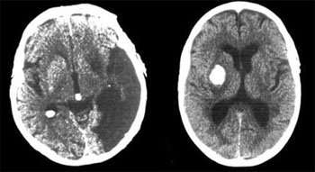
CT einer Hirnblutung (rechts)
und einer Mangeldurchblutung
(links) im späteren Stadium
Zunächst erfolgt eine neurologische Untersuchung, bei der die neurologischen Ausfallserscheinungen festgestellt, den betroffenen Gehirnregionen zugeordnet und andere Ursachen ausgeschlossen werden. Zur Unterscheidung zwischen einer Mangeldurchblutung („Ischämie“) und einer Blutung dient die Computertomographie (CT).
Moderne Geräte erlauben eine Schichtaufnahme des Gehirns (Röntgenaufnahme) in wenigen Minuten. Eine Blutung lässt sich unmittelbar nachweisen, während die Durchblutungsstörung im frühen Stadium (innerhalb der ersten 24 Stunden) einen unauffälligen Befund liefern kann. Unter Umständen kann eine Kernspintomographie (MRT) des Gehirns sinnvoll sein.
Die Ultraschalluntersuchung der hirnversorgenden Arterien („Doppler“) dient dazu, eine evtl. Verengung der Halsschlagadern oder anderer hirnversorgender Arterien festzustellen. Das Herz wird mit EKG (unter Umständen auch Langzeit-EKG) und Ultraschall („Echokardiographie“) untersucht und die Risikofaktoren Bluthochdruck, Diabetes mellitus und erhöhte Blutfettwerte überprüft. In aller Regel erfolgen diese diagnostischen Maßnahmen innerhalb der ersten Tage nach dem Schlaganfall in spezialisierten Einrichtungen, den sog. Schlaganfallstationen („Stroke Units“), die mittlerweile nahezu flächendeckend verfügbar sind. In bestimmten Fällen können auch weitergehende Untersuchungen notwendig werden.
was sind
die Ursachen?

Verschluss eines Blutgefäßes
Der Schlaganfall ist eine plötzlich einsetzende Durchblutungsstörung des Gehirns. Dadurch werden die betroffenen Hirnregionen nicht mehr mit Blut und den lebensnotwendigen Nährstoffen versorgt und gehen zugrunde, wenn die Durchblutungsstörung längere Zeit anhält.
Diese kann zwei Gründe haben:
- ein zum Gehirn führendes Blutgefäß ist verschlossen dadurch kommt es zu einer Mangeldurchblutung
- durch den Riss eines Blutgefäßes kommt es zu einer Blutung.
Von diesen beiden Gründen ist die Mangeldurchblutung mit etwa 85% die häufigste Ursache. Für den Verschluss eines Blutgefäßes ist zumeist ein Blutgerinnsel verantwortlich. Dieses kann sich durch arteriosklerotische Veränderungen im Blutgefäß selbst bilden („Thrombose“) und dort über eine zunehmende Verengung zum Verschluss führen. Risikofaktoren hierfür sind z. B. Bluthochdruck, Diabetes mellitus, Rauchen, erhöhte Blutfettwerte, Übergewicht, mangelnde Bewegung.
Es kann aber auch an anderer Stelle entstehen und dann mit dem Blutstrom bis zu einem Hirngefäß verschleppt werden, durch das es nicht mehr hindurchpasst und es somit verschließt („Embolie“). Die meisten Embolien kommen aus dem Herzen (z. B. bei Vorhofflimmern, einer Art Herzrhythmusstörung), können aber auch von arteriosklerotischen Veränderungen der hirnzuführenden Arterien oder Aussackungen der Blutgefäßwand („Aneurysma“) ausgehen.
Therapie und Behandlung

Links: vor der Behandlung
Rechts: nach der Behandlung
Trotz der verbesserten Behandlungsmöglichkeiten kommt der Vorbeugung nach wie vor große Bedeutung zu. Dazu gehört in erster Linie, die Risikofaktoren (Bluthochdruck, Diabetes mellitus, Nikotinkonsum, erhöhte Blutfette, Übergewicht und Bewegungsmangel) frühzeitig zu erkennen und konsequent zu behandeln.
Damit wird nicht nur das Risiko für einen Schlaganfall, sondern auch für einen Herzinfarkt oder andere gefäßbedingte Erkrankungen wie eine periphere arterielle Verschlusskrankheit („Raucherbein“) deutlich gesenkt. Neben diesen allgemeinen Maßnahmen stehen verschiedene Medikamente zur Verfügung, die einen weiteren Schlaganfall verhüten können. Die sog. „Thrombozytenfunktionshemmer“ wie Acetylsalicylsäure (ASS) oder Clopidogrel beeinflussen die Blutplättchen („Thrombozyten“), vermindern die Gefahr der Bildung eines Blutgerinnsels und senken damit das Risiko eines Schlaganfalls. Da die Blutplättchen bei einer Verletzung für die Blutstillung verantwortlich sind, besteht bei der Behandlung mit Thrombozytenfunktionshemmern ein leicht erhöhtes Blutungsrisiko. In bestimmten Fällen, insbesondere bei einer vermuteten Embolie aus dem Herzen wie bei Herzrhythmusstörungen (Vorhofflimmern), nach einem Herzinfarkt oder nach Herzoperationen, werden Substanzen eingesetzt, die die Blutgerinnung dauerhaft hemmen. Diese nennt man „Antikoagulantien“ und sie wirken stärker als Thrombozytenfunktionshemmer, das Risiko für Nebenwirkungen ist im Vergleich auch etwas höher. Ist die Ursache des Schlaganfalls eine hochgradige Verengung der Halsschlagader („Carotisstenose“), kann diese durch eine Operation oder die Einlage eines sog. „Stents“ beseitigt werden.
AKUTBEHANDLUNG
Wenn die oben angeführten Warnzeichen für einen Schlaganfall eingetreten sind, ist die Akutbehandlung im Krankenhaus erforderlich. Dabei kommt es darauf an, dass die Behandlung so frühzeitig wie möglich begonnen wird. Nur dadurch kann unter Umständen die Durchblutungsstörung beseitigt und Hirngewebe gerettet werden („time is brain“). Daher sollte sofort der Notarzt alarmiert werden, der bereits mit der Notfallbehandlung beginnt. In der Klinik werden rasch die erforderlichen diagnostischen Schritte (Laborwerte, EKG, CT und Ultraschalluntersuchung der hirnversorgenden Blutgefäße) durchgeführt. Die Basisbehandlung ist bei allen Formen des Schlaganfalls gleich. Dabei werden die lebenswichtigen Körperfunktionen engmaschig überwacht und unter anderem dafür gesorgt, dass der Patient genügend Flüssigkeit und Sauerstoff erhält, die Blutdruck- und Blutzuckerwerte in einem günstigen Bereich liegen und die Körpertemperatur 37°C nicht übersteigt. Die spezifische Behandlung richtet sich nach der Ursache des Schlaganfalls. Wenn ein Blutgerinnsel ein Gefäß verschlossen hat und der Schlaganfall nicht länger als drei Stunden zurückliegt, kann ein Versuch unternommen werden, das Gerinnsel medikamentös aufzulösen und dadurch die Durchblutungsstörung zu beseitigen. Dieses Verfahren nennt man „Thrombolyse“.
REHABILITATIONSBEHANDLUNG
Sobald wie möglich wird mit der Mobilisation und Rehabilitationsbehandlung begonnen. Bereits im Akutkrankenhaus lernen die Patienten unter Anleitung der Therapeuten, die funktionellen Beeinträchtigungen zurückzugewinnen. Im Anschluss kann eine mehrwöchige Rehabilitation erforderlich sein, bei der Alltagsaktivitäten geübt werden und die Wiedereingliederung in das Berufs- und Alltagsleben ermöglicht wird. Glücklicherweise ist unser Gehirn in der Lage, bestimmte Ausfälle auszugleichen und sich den veränderten Bedingungen anzupassen („neuronale Plastizität“). Dafür müssen aber die verschiedenartigen, gestörten Funktionen immer wieder und intensiv geübt werden. Dies geschieht mit den Methoden der neurologischen Rehabilitation – so werden beispielsweise durch krankengymnastische Übungen die Beweglichkeit verbessert und das Gehvermögen trainiert, durch Ergotherapie Arm- und Rumpffunktion aufgebaut und alltagsrelevante Funktionen wie Waschen, Anziehen und Essen eingeübt, durch Logopädie Sprachstörungen behandelt und durch die neuropsychologische Therapie Aufmerksamkeits-, Gedächtnis- und Konzentrationsstörungen angegangen. Der Sozialdienst berät über die Versorgung mit Hilfsmitteln für zu Hause und organisiert pflegerische Unterstützung, sofern erforderlich. Ziel all dieser Maßnahmen ist die Wiederherstellung größtmöglicher Selbständigkeit und Unabhängigkeit.
Unsere Behandlungskonzepte
bei Schlaganfall
Ziele der rehabilitationsbehandlung
- Training alltagsrelevanter Funktionen und Wiederherstellung der Alltagskompetenz
- Hilfe zur Selbsthilfefähigkeit
- Förderung der Lebensqualität
- Medizinische Behandlung und Betreuung
Maßnahmen
- Pflegerische Hilfe und Unterstützung auf der Station im 24-Stunden-Management nach dem Bobath-Konzept („aktivierende Pflege“)
- Störungsspezifische Behandlung im interdisziplinären Team
- Physiotherapie
- Ergotherapie
- Neuropsychologie
- Psychologie
- Logopädie
- Musiktherapie
- Information und Beratung
- Rollstuhlabteilung
- Sozialdienst
- Vorträge
- Ärztliche Einzel- und Visitengespräche
- Psychologische geleitete Schulungsprogramme
- Kontinenzberatung
- Medikamentöse Behandlung
- Optimierung der Risikofaktoren
- Sekundärprophylaxe
- Ergänzung noch ausstehender diagnostischer Maßnahmen
- EKG, LZ-EKG, LZ-Blutdruck
- Doppler- und Duplexsonographie der hirnversorgenden Arterien
- EEG
Art der Durchführung
- Aufnahmeuntersuchung am Anreisetag
- Festlegung des Therapiebedarfs und der Therapieziele in Abstimmung mit dem Patienten
- Dokumentation im Verordnungsbogen und Weiterleitung an die Therapiedisposition noch am Aufnahmetag
- Planung der Ersttermine bei den therapeutischen Fachabteilungen
- Endgültige Festlegung der Einzel- und Gruppentherapie durch die therapeutischen Fachabteilungen unter Berücksichtigung von Belastbarkeit, Funktionseinschränkungen und Therapiebedarf
- Wöchentliche Überprüfung der erreichten Fortschritte und ggf. Anpassung der Therapie(teil)ziele nach Absprache im interdisziplinären Team unter Berücksichtigung der Ziele des Patienten